В Красногорске девушка проглотила швейную иглу. Спасли жительницу области врачи. В Красногорскую больницу поступила девушка, случайно проглотившая...

В Красногорске девушка проглотила швейную иглу.

Спасли жительницу области врачи.

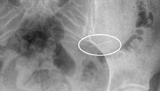
В Красногорскую больницу поступила девушка, случайно проглотившая швейную иглу. После происшествия пациентка сразу обратилась за медицинской помощью:

«Это позволило избежать дальнейшего перемещения иглы по организму. Благодаря своевременному вмешательству, опасный предмет был
благополучно удален с помощью эндоскопического оборудования», — сказал заведующий первым хирургическим отделением Николай Мурашов.

Комментарии
Присоединяйтесь к обсуждению и поделитесь своим мнением
Читать комментарии

Добавить комментарий

Закрытый Telegram-канал Красногорска

То, о чем не пишут в СМИ
Подписывайтесь на наш закрытый ресурс, где мы публикуем только главные и самые резонансные события без лишнего шума.
Телеграф 18+